¿Me puedo poner ortodondia por segunda vez?
Es frecuente que los pacientes nos pregunten si es posible someterse a un segundo tratamiento de ortodoncia para corregir la posición de los dientes, especialmente después de hab
¿POR QUÉ ES NECESARIO EL ESTUDIO DE ORTODONCIA?
Cuando un paciente va a iniciar un tratamiento de con brackets o Invisalign en nuestra Clínica Dental en Carballo siempre le indicamos realizar una serie de p
¿TIENES DUDAS DEL TRATAMIENTO CON INVISALIGN?
Cada días son más los pacientes adultos y adolescentes que solicitan información sobre ortodoncia invisible en nuestra Clínica Dental en Carballo.
¿ME PUEDO PONER ORTODONCIA SI ESTOY PENSANDO EN TENER UN BEBÉ?
El tratamiento de ortodoncia está cada vez más extendido en pacientes adultos. En nuestra clínica dental en Carballo es habitual que muchas chicas no
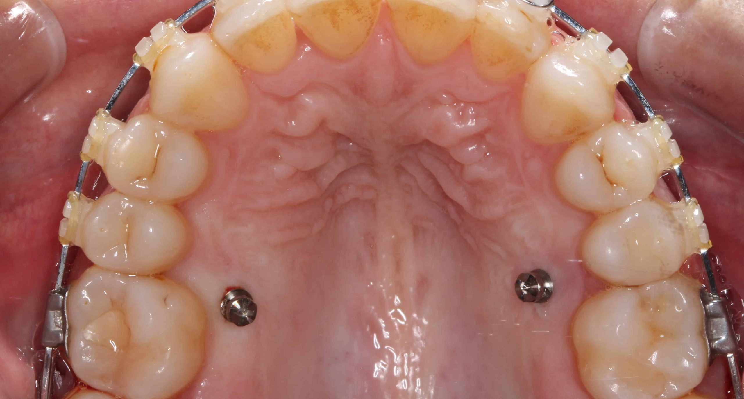
¿QUÉ SON LOS MICROTONILLOS DE ORTODONCIA?
Los microtornillos de ortodoncia no son lo mismo que los implantes dentales. Son unos pequeños tornillos de dimensiones mucho menores (su longitud varía entre los 6-12 mm y s
TRATAMIENTO DE ORTODONCIA EN ADULTOS ¿ES ACONSEJABLE?
En la Clínica Dental Pico Blanco atendemos cada día a un mayor número de pacientes adultos que se interesan por los tratamientos de ortodoncia, la mayorí
¿DUELE LA ORTODONCIA?
En nuestra clínica dental situada en Carballo, recibimos muchos pacientes que se plantean la pregunta de si duele la ortodoncia. Por ello, hemos decidido hacer este art
¿EN QUÉ CASOS NO SE PUEDE PONER INVISALIGN?
¿En qué casos no se puede usar Invisalign? - Nuestros dentistas en Carballo analizan tu caso y te dan una respuesta: 981 70 36 32
INVISALIGN: ORTODONCIA INVISIBLE
Cuando uno piensa en mover los dientes inevitablemente aparece en su cabeza la idea de los brackets y alambres colocados sobre la superficie de sus dientes y la sensación de
¿Invisalign o Brackets? Nuestros ortodoncistas en Carballo responden
¿Invisalign o Brackets? Cada sistema de ortodoncia tiene un fin concreto. Estudiamos tu caso y te ofrecemos un tratamiento personalizado - 981 70 36 32

